Cerca
Corato
22 Novembre 2025 - 08:25
CORATO - Una visita in Pronto Soccorso per dolori addominali e stipsi si è trasformata in un caso clinico complesso risolto grazie all’intervento tempestivo dell’équipe di Chirurgia Generale, diretta dal dr. Pasquale Cianci, all’ospedale “Umberto I” di Corato. La paziente era arrivata pensando a un disturbo passeggero, ma gli accertamenti hanno rivelato una situazione di ben altra natura.
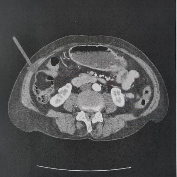
Gli esami diagnostici, tra cui una Tac addome, hanno mostrato una subocclusione intestinale provocata da una massa di oltre 6 cm, sviluppata nella parete del colon destro. La conferma è arrivata con la colonscopia, che ha certificato la necessità di un intervento immediato. Dopo una valutazione anestesiologica, la donna è stata sottoposta a emicolectomia destra laparoscopica, procedura mini-invasiva che ha consentito la rimozione del tumore e una più rapida ripresa postoperatoria.
Il decorso clinico è stato seguito in collaborazione con cardiologi e internisti del presidio, con dimissione dopo 10 giorni. L’analisi istologica eseguita dall’Istituto Oncologico di Bari ha diagnosticato un lipoma sottomucoso maturo, un tumore benigno raro. “Si tratta di una evenienza poco frequente – sottolinea il dr. Cianci –. Queste formazioni rappresentano tra lo 0,035% e il 4,4% delle neoplasie benigne non epiteliali del tratto gastrointestinale e diventano sintomatiche solo quando raggiungono dimensioni importanti. La laparoscopia ha ridotto tempi di recupero e complicanze”.
I dati della Chirurgia confermano la crescita dell’attività del reparto: dal 1° gennaio 2025 sono stati eseguiti 418 interventi, di cui 102 in urgenza e 316 in elezione. Le procedure laparoscopiche sono state 129, pari al 30,9% del totale, segnando un consolidamento delle tecniche mini-invasive che riducono dolore, sanguinamento e tempi di degenza.
Un caso risolto con professionalità, che evidenzia la capacità dell’“Umberto I” di affrontare emergenze complesse e di migliorare il livello di assistenza offerto ai pazienti.
I più letti
Testata: Buonasera
ISSN: 2531-4661 (Sito web)
Registrazione: n.7/2012 Tribunale di Taranto
La società percepisce i contributi di cui al decreto legislativo 15 maggio 2017, n. 70. Indicazione resa ai sensi della lettera f) del comma 2 dell’articolo 5 del medesimo decreto legislativo
Piazza Giovanni XXIII 13 | 74123 | Taranto
Telefono: (+39)0996960416
Email: redazione.taranto@buonasera24.it
Pubblicità : pubblicita@buonasera24.it
Editore: SPARTA Società Cooperativa
Via Parini 51 | 74023 | Grottaglie (TA)
Iva: 03024870739
Presidente CdA Sparta: CLAUDIO SIGNORILE
Direttore responsabile: FRANCESCO ROSSI
Presidente Comitato Editoriale: DIEGO RANA